
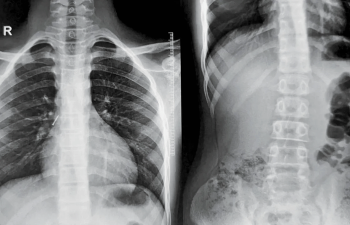
शाळेतील खोडसाळपणा एका विद्यार्थ्याला चांगलात महागात पडला आहे. वर्गात मित्रांसोबत खेळत असताना एका 13 वर्षांच्या मुलाने शिक्षकांपासून लपवण्यासाठी टाचणी तोंडात ठेवली. तोंडात लपवलेली ही टाचणी थेट श्वासनलिकेत जाऊन अडकली. यानंतर मुलाला सतत खोकला येत असल्याने त्याला कूपर रुग्णालयात नेण्यात आले. डॉक्टरांनी मुलाचा एक्स रे काढल्यानंतर सदर प्रकार उघडकीस आला. डॉक्टरांनी अर्ध्या तासाच्या अत्यंत गुंतागुंतीच्या शस्त्रक्रियेनंतर ही टाचणी यशस्वीरीत्या बाहेर काढून मुलाला जीवदान दिले आहे.
शाळेत मित्रांना टाचणी टोचून हा मुलगा मस्करी करत होता. यादरम्यान शिक्षक समोर आले आणि पकडले जाऊ या भीतीने त्याने टाचणी तोंडात लपवली. मात्र, ती टाचणी अनावधानाने गिळली गेली आणि थेट फुफ्फुसाजवळ असलेल्या श्वासनलिकेत जाऊन अडकली. टाचणी गिळल्यानंतर मुलाला सतत खोकला येऊ लागल्याने त्याला तातडीने कूपर रुग्णालयात दाखल करण्यात आले.
डॉक्टरांनी तात्काळ मुलाचा एक्स रे काढला. एक्स रे रिपोर्टमध्ये मुलाच्या फुफ्फुसाजवळ टाचणी असल्याचे आढळले. यानंतर कूपर रुग्णालयातील डॉ. शशिकांत म्हसाळ, डॉ. विनोद गीते, डॉ. अनिता शेट्टी यांच्या टीमने ‘रिजिड ब्रॉन्कोस्कोपी’ या अत्याधुनिक तंत्रज्ञानाचा वापर करून शस्त्रक्रिया केली. तोंडावाटे उपकरण आत टाकून, फुफ्फुसांचे वायुवीजन सुरळीत ठेवत अवघ्या 30 मिनिटांत ती टाचणी बाहेर काढली. वेळेत उपचार मिळाल्यामुळे मुलाच्या फुफ्फुसाचे मोठे नुकसान टळले असून त्याची प्रकृती आता स्थिर आहे.

























































